
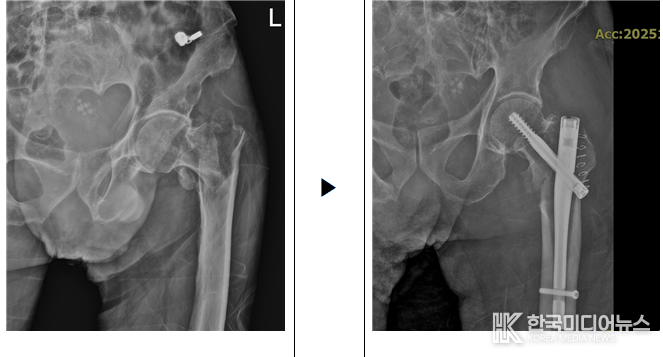
[ 한국미디어뉴스 이원영 기자 ] 인성의료재단 한림병원은 100세 초고령의 고위험 환자에게 시행한 대퇴골 골절 수술을 성공적으로 마쳤다고 14일 밝혔다.
해당 환자는 길에서 쓰러져 있는 것을 행인이 발견해 119로 이송되었으며, 외상 없이 갑작스럽게 증상이 발생해 본원 응급실로 내원했다. 초고령 환자의 경우 마취 및 수술 과정에서 합병증 위험이 매우 높기 때문에, 철저한 사전 준비와 다학제 협진이 필수적이다.
수술은 한림병원 정형외과 김은열 과장을 중심으로 척추·관절센터, 심장내과, 흉부외과, 중환자실 등 여러 전문의료진이 긴밀히 협력하여 진행됐다. 환자는 수술 후 중환자실에서 집중 치료를 받은 뒤, 현재 안정적인 회복세를 보이며 재활치료를 통해 일상 복귀를 준비하고 있다.
김은열 과장은 “한림병원 척추·관절센터는 풍부한 임상 경험을 바탕으로 초고령 및 고위험 환자에게 최적화된 수술과 집중 관리 시스템을 제공하고 있다”며 “수술 전 단계부터 협진 체계를 구축해 환자 안전을 최우선으로 하고 있다”고 말했다.
한림병원 척추·관절센터는 365일 24시간 전문의가 상주하며, 정확한 진단과 최신 수술기법으로 환자별 맞춤형 치료를 시행하고 있다. 지난해에도 102세 초고령 환자의 수술을 성공적으로 마치는 등 고난도 수술 분야에서 두각을 나타내고 있다.














